Qué enfermedad puede transmitirse por darle besos al perro
Se trata de una infección parasitaria. En Neuquén se registraron 36,7 casos por cada 10.000 habitantes en 2019 y 2023
Junto con Chubut y Catamarca, Neuquén es una de las 3 jurisdicciones de la Argentina que ha tenido la tasa de incidencia más alta de casos de hidatidosis entre 2019 y 2023. Se han registrado 36,7 casos de personas con esa infección por cada 100.000 habitantes durante ese período, según informó recientemente el boletín epidemiológico del Ministerio de Salud de la Nación.
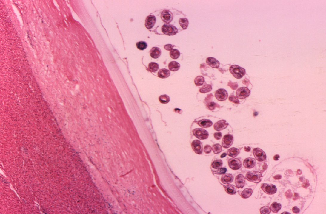
La hidatidosis es una enfermedad causada por un parásito que se llama Echinococcus granulosus. Puede afectar a las personas cuando los huevos del parásito llegan a la boca (principalmente de los niños) y eso puede ocurrir por actividades como darle besos al perro, dejarse lamer por el perro, comer verduras contaminadas, tomar agua contaminada, según el Ministerio de Salud de la Nación.
A su vez, los perros pueden adquirir el parásito al comer achuras crudas de ovejas, cabras, vacas y chanchos que contenían el parásito.
La hidatidosis es considerada endémica en Neuquén, de acuerdo con la cartera de salud provincial. La aparición de casos se da más donde la cría de ganado menor es el único medio de subsistencia y se dan vísceras crudas a los perros de manera frecuente.

Qué pasa en niños y adolescentes
En el boletín epidemiológico de la cartera de Salud nacional, también se aclaró cuál es la situación de la hidatidosis en niños y adolescentes. “Teniendo en cuenta la implicancia de la detección de casos en niños, niñas y adolescentes como indicadores de transmisión reciente o activa a humanos en el área, se calculó las tasas de incidencia para menores de 15 años según jurisdicción”, aclararon los epidemiólogos.
En ese grupo de edad se detectaron un total de 217 casos en la Argentina en el período analizado, con la tasa de incidencia más alta registrada en el año 2022 (0,62 casos por cada 100.000 habitantes). Las provincias que presentaron mayores tasas son las de región Sur particularmente en Neuquén y Chubut con tasas cercanas a 20 casos cada 100.000 habitantes.
Cuáles son los síntomas de la hidatidosis
Las personas enfermas desarrollan quistes en el hígado y los pulmones, aunque también pueden llegar a otros lugares del cuerpo, de acuerdo con el Ministerio de Salud neuquina. Las personas con quistes hidatídicos pueden no tener síntomas durante muchos años (son portadores asintomáticos) hasta que el quiste es más grande y aparecen los síntomas (convirtiéndose en portadores sintomáticos).
Cómo se detecta la hidatidosis
La ecografía del hígado es el estudio de imágenes preferido para el diagnóstico temprano y para el seguimiento de la enfermedad de la hidatidosis. Es rápido, y se puede repetir cada vez que se necesite, ya que se hace desde afuera y sin invadir al paciente.
Ese estudio debe ser realizada por personal médico capacitado en ecografía para hidatidosis. Si se encuentra un quiste en el hígado, se realizará la derivación al hospital para hacer una nueva ecografía que definirá si se trata o no de hidatidosis y proponerle el tratamiento que sea más adecuado.

Crédito : CDC/ Dr. Peter Schantz
Cuál es el tratamiento
En las personas los quistes pequeños se tratan con medicación, pero si alcanzan un gran tamaño se debe recurrir a la cirugía. En los perros también se realiza un tratamiento con medicación para evitar la eliminación del parásito por materia fecal
El sistema público de salud de Neuquén entrega gratuitamente medicamentos para el tratamiento en seres humanos y para la desparasitación de los perros.
¿Cómo se puede prevenir la hidatidosis?
– No se debe alimentar a los perros con achuras crudas.
– Se debe desparasitar a los perros cada 45 días.
– Mantener a los perros lejos de los lugares donde se carnea
– Lavar con agua potable y a chorro fuerte las frutas y verduras.
– Hay que evita que los perros laman a los niños en la boca.
– Evitar que los niños se lleven tierra o arena a la boca.
– Lavar bien las manos, después de tocar un perro, antes de comer y tantas veces como sea necesario.
– Poner cerco a las huertas para que no entren los perros.
– Se debería tener pocos perros, uno o dos por familia y que no anden sueltos.
Junto con Chubut y Catamarca, Neuquén es una de las 3 jurisdicciones de la Argentina que ha tenido la tasa de incidencia más alta de casos de hidatidosis entre 2019 y 2023. Se han registrado 36,7 casos de personas con esa infección por cada 100.000 habitantes durante ese período, según informó recientemente el boletín epidemiológico del Ministerio de Salud de la Nación.
Registrate gratis
Disfrutá de nuestros contenidos y entretenimiento
Suscribite por $1500 ¿Ya estás suscripto? Ingresá ahora
Comentarios
Estimados/as lectores de Río Negro estamos trabajando en un módulo de comentarios propio. En breve estará habilitada la opción de comentar en notas nuevamente. Mientras tanto, te dejamos espacio para que puedas hacernos llegar tu comentario.
Gracias y disculpas por las molestias.
Comentar